Dr. Casey Weber
Family Dentistry
Dr. Casey Weber
Family Dentistry
Request an Appointment
Like us on Facebook
(337) 332-2321
1220 N Berard St
Breaux Bridge, LA 70517
Menu
Call
Book Now
Map
Home
About
Our Team
Office Pictures
Services
View All
Cleanings and Examinations
Cosmetic Dentistry
Crowns and Bridges
Dental Bonding
Dentures and Partials
Emergency Services
Family Dentistry
Root Canal Treatment
Smile Makeovers
Teeth Whitening
Smile Gallery
Testimonials
Patient Info
View Patient Info
FAQs
Contact
Dr. Casey Weber
>
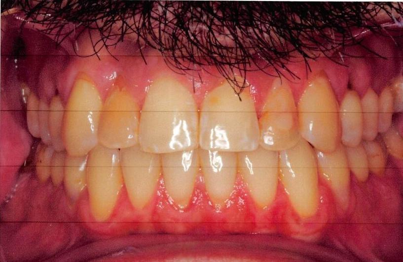
Smile Gallery
>
3
3
Return to Smile Gallery
Next
Before
After
Have Questions? Get in Touch
Contact Us
If you have difficulty using our website, please
email us
or call us at
(337) 332-2321
View the
ADA Accessibility Statement
Turn on ADA Views
Privacy Policy
OK!
×
×
Contact Us Today
Give Us A Call
Dr. Casey Weber Family Dentistry -
(337) 332-2321
Send Us an Email
Request an Appointment
Contact Us
Ready to Schedule an Appointment?
Book Online
Have Questions? Contact Us:
Required Field
Your Name:
Phone:
Email:
Are you a new patient?:
Are you a?
New Patient
Current Patient
How would you like us to contact you?
Please choose
Call
How did you hear about us?
Please choose
I'm an existing patient
Google/Bing
Mailer
Word of mouth
Social media
Other
Who Referred You?:
Appointment Preferences
Monday
Tuesday
Wednesday
Thursday
Your Message:
This site is protected by reCAPTCHA and the Google
Privacy Policy
and
Terms of Service
apply.
Sending...
×
This Patient's Experience
Loading Testimonial...
Loading Case...